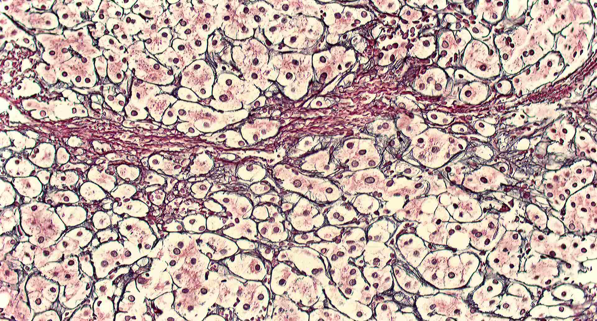
標本の説明


標本7


標本一覧に戻る