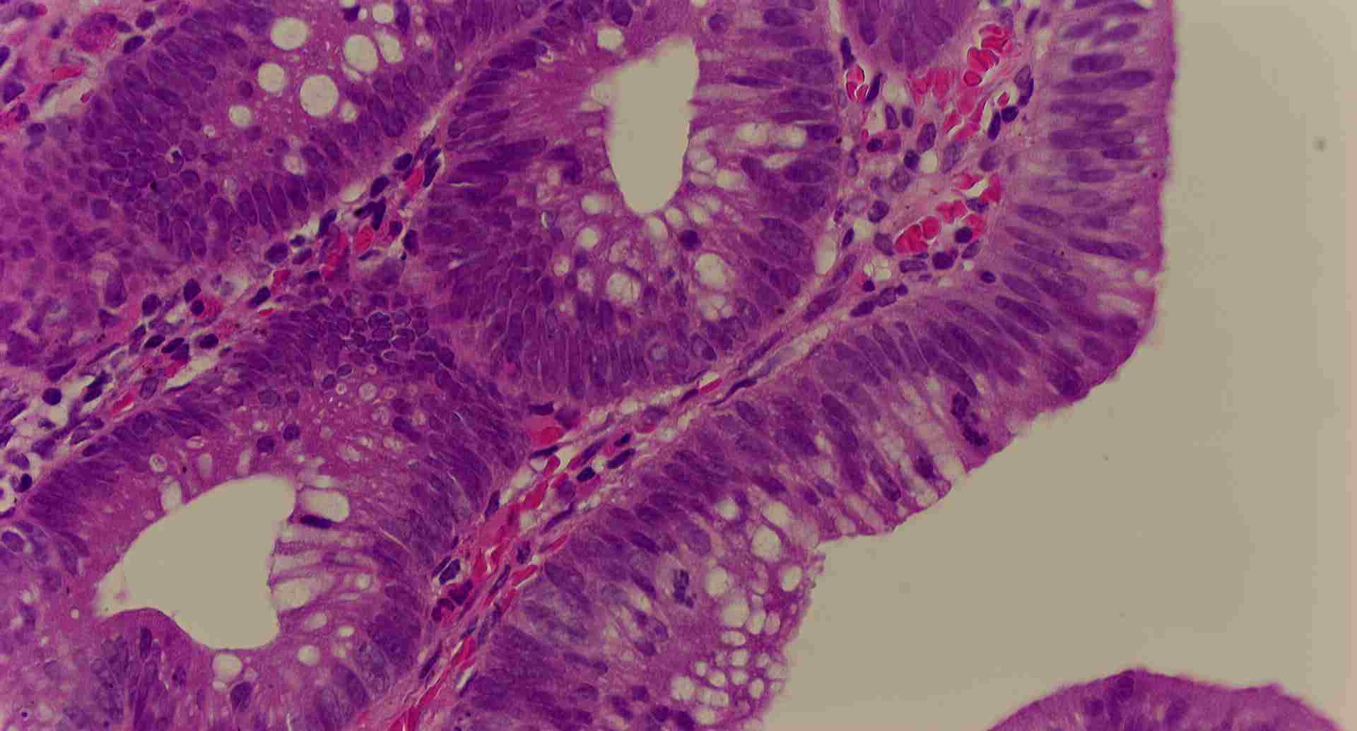
標本の説明

標本12